When do you need braces?
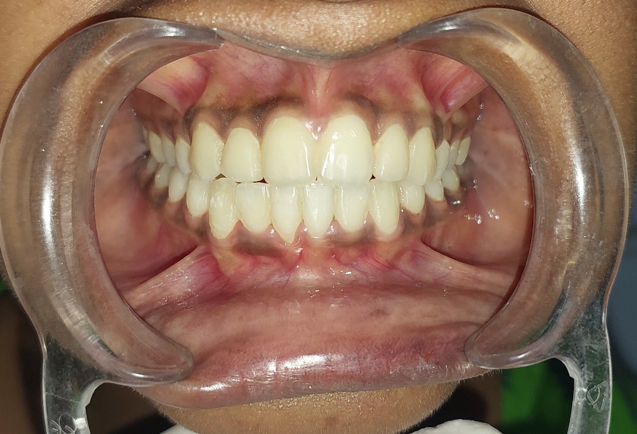
Braces are orthodontic appliances designed to gently realign your teeth, correct bite issues, and create a healthier, more confident smile. Whether you're dealing with crowding, gaps, or misalignment, braces provide a reliable and highly effective solution for long-term dental correction.
At Aashirwad Clinic, our orthodontic specialists use modern techniques and customized treatment plans to ensure your braces are comfortable, precise, and tailored to your unique needs. With advanced materials and careful monitoring, we help you achieve a straighter smile, improved oral function, and lasting results — all with a smooth, guided treatment experience.
Why Braces?
Braces and orthodontic treatments at Aashirwad Clinic can correct a wide range of dental alignment and bite issues. Our customized treatment plans help improve function, aesthetics, and long-term oral health.
We provide braces solutions for:
Crowded or Overlapping Teeth
When teeth don’t have enough space, braces help align them properly for better cleaning, function, and appearance.
Gaps Between Teeth (Spacing Issues)
Braces close spaces and create an even, well-aligned smile.
Overbite, Underbite & Crossbite
Overbite, underbite, or crossbite caused by jaw or tooth misalignment.
Open Bite or Deep Bite
Braces help restore proper contact between upper and lower teeth, improving function and facial balance.
Misaligned or Rotated Teeth
Braces gently rotate and position teeth into their correct alignment for optimal aesthetics and oral health.

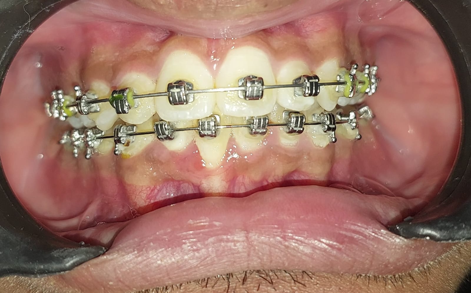
Classic stainless-steel brackets and wires that provide reliable and effective alignment for all types of orthodontic issues.

Tooth-colored braces that blend with your natural teeth, offering a more aesthetic and discreet alternative to metal braces.

Advanced metal braces that use a slide mechanism instead of elastic bands, providing smoother, faster tooth movement and easier cleaning.

Clear, aesthetic braces with self-ligating technology for efficient and comfortable treatment with minimal visibility.
Our Treatment Approach
Benefits of Braces:
Improve smile aesthetics
Straightens teeth and enhances the overall appearance of your smile.
Better Bite & Function
Corrects bite issues, making chewing and speaking easier and more comfortable.
Boost in Confidence
A well-aligned smile helps improve self-esteem and overall confidence.
Personalized Treatment
Braces plans are customized to your unique alignment and bite needs.
Healthier Teeth & Gums
Aligned teeth are easier to clean, helping prevent cavities and gum issues.
Specialist Orthodontic Care
Expert supervision ensures safe, effective, and predictable results throughout your treatment.
Why Choose Aashirwad Clinic
At Aashirwad Clinic, we combine precision, technology, and compassion to restore both function and confidence for our patients. Our maxillofacial prosthetic services stand out because of our commitment to excellence and personalized care.
Specialized Expertise: Our dental team is trained in advanced prosthodontics and facial rehabilitation, ensuring each prosthesis is both functional and lifelike.
Advanced Technology: We use digital scanning, 3D design, and high-quality biocompatible materials to create prostheses that fit comfortably and look natural.
Multidisciplinary Care: We collaborate closely with oral surgeons, oncologists, and medical professionals to provide complete post-surgical rehabilitation.
Customized Aesthetics: Every prosthesis is individually crafted to match skin tone, facial symmetry, and patient preferences.
Patient-Centered Approach: We focus on comfort, communication, and long-term support throughout your recovery journey.
Our goal is to help you regain your natural appearance, improve daily function, and restore the confidence to smile freely again.





